منوعات

تحليل الدم قد يساعد على اكتشاف سرطان المبيض مبكرا

2351 2017-03-02

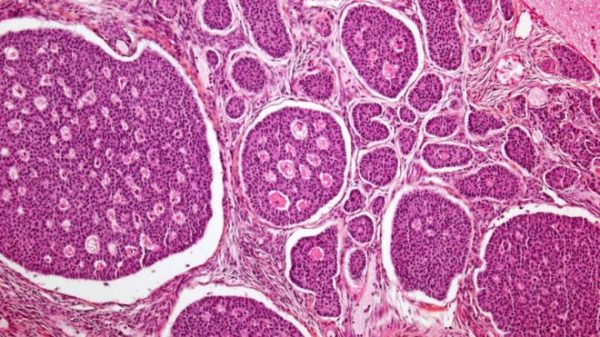
يعد سرطان المبيض سابع أكثر أنواع أمراض السرطان انتشارا على مستوى العالم مسجلا إصابة 240 ألف حالة سنويا قال باحثون إن إجراء تحليل للدم مرة كل أربعة أشهر قد يساعد السيدات اللاتي يحتمل بنسبة كبيرة إصابتهن بسرطان المبيض على اكتشاف وجود أي أورام مبكرا. وخلال دراسة شملت 4348 سيدة، ونشرتها دورية “Clinical oncology” الطبية، ساعد التحليل على اكتشاف مرض السرطان مبكرا. لكن، لم يتضح بعد ما إذا كان تحليل الدم العادي قد يساعد على إنقاذ حياة المرضى المحتملين. وينصح الأطباء السيدات الأكثر عرضة للإصابة بسرطان المبيض باستئصال قناتي المبيض وفالوب. وتعاني سيدتان من كل مئة بسرطان المبيض في مرحلة معينة من مراحل العمر. كارولين بريشو شاركت كارولين بريشو في التجربة وتعتقد أن تحليل الدم قد يكون مفيدا للسيدات ورثت كارولين بريشو، 43 عاما، خللا جينيا يعرف بـ”بي أر سي إيه 2″. وتقول: “قد أصاب بمرض السرطان”. ونصح الأطباء بريشو بإجراء جراحة لتقليل نسبة الخطر، لكن استئصال المبيض والقنوات يبدأ معه سن اليأس. وتقول بريشو:”لم أرغب في أن أعيش سن اليأس وأنا في سن 35 عاما (وقتها)”. وأضاف:”السن صغيرة جدا، وبداية ذلك مبكرا له تأثير ضار على الوظيفة المعرفية والعظام وصحة القلب”. مراقبة الدم وركزت الدراسة على سيدات من أمثال كارولين، وهي دراسة أجريت في 42 مركزا في بريطانيا، وتهدف إلى مراقبة مستويات مادة كيمائية توجد في دم السيدات تعرف باسم تحليل “سي إيه 125”. وعمل الأطباء في ثلاث مرات في العام على رصد أي تغير في مستويات “سي إيه 125” الذي تنتجه أنسجة المبيض، وذلك بهدف تحديد ما إذا كانت المستويات تزداد على نحو ينذر بالإصابة بمرض السرطان. كما دأبت السيدات على إجراء أشعة بصفة سنوية، وكان الأطباء يتخذون قرار إجراء عملية جراحية إذا رأوا احتمال إصابة السيدة بالسرطان. وخلال ثلاث سنوات من الفحص وعام من إجراء آخر تجربة، اكتشف الأطباء 19 حالة إصابة بالسرطان، منها عشر حالات كانت في مرحلة مبكرة. وبعد خمس سنوات من ذلك، اكتشف الأطباء 18 حالة أخرى مصابة بسرطان المبيض، من بينها حالة واحدة فقط حاليا في مرحلة مبكرة. وتكمن الفكرة الرئيسية لعلاج جميع أنواع السرطان في الاكتشاف المبكر للورم، وهو ما يحسن فرص النجاة من مخاطره. الجراحة مازالت الأفضل قالت أوشا مينون، وهي باحثة وأستاذ في أمراض سرطان النساء بكلية لندن الجامعية :”إن ما نسعى إلى عمله هو حث النساء على إجراء عملية جراحية”. وأضافت لبي بي سي :”من وجهة نظري تعاني النساء بالفعل من مسألة سن اليأس، ويبدو أن إجراء فحوص كل أربعة أشهر أفضل من التركيز على التوعية بأعراض المرض”. وقالت :”يساعد الفحص بدون شك في تقليل انتشار المرض، لكننا لا نستطيع أن نقول بالتأكيد إذا كان ينقذ الحياة”. ونصحت إدارة الأغذية والأدوية الأمريكية مؤخرا “بعدم اللجوء إلى الاختبارات المتاحة حاليا لفحص الإصابة بمرض سرطان المبيض”، بما في ذلك الاختبارات التي تتعلق بـ”سي إيه 125” ومن بين الأشياء المحتملة إمكانية أن يسهم تحليل الدم في إبعاد السيدات عن فكرة إجراء عملية جراحية. وقالت مينون :”هذا هو ما يخشاه الجميع”، بيد أنها أشارت إلى وجود مشكلة بالفعل بالنسبة للسيدات اللاتي يؤجلن إجراء الجراحات. “ضغوط كبيرة” أنجبت كارولين بريشو، طفلها الرابع والأخير في نفس العام التي أجرت فيه الجراحة، وقالت “أعرف أنني مجنونة”. وقالت لبي بي سي :”الأطباء ينصحون بالإنجاب قبل سن 35 عاما، لكن ربما لم يحدث ذلك أو لا تتوفر فرصة العثور على شريك”. وتصل نسبة السيدات ممن يواجهن مخاطر شديدة مثل كارولين نحو 3 في المئة. وقالت أثينا لامنيزوس، مديرة مؤسسة “إيف أبيل”، التي تمول جزءا من الدراسة :”هذا البحث يعطي أملا وثقة للسيدات بأن ثمة طريقة تستند إلى أدلة فيما يتعلق بإجراء الفحص، إذا قررن تأجيل الجراحة التي تقلل حجم المخاطر”. وقال أنوين جونز، مدير مؤسسة “تارجت” لمكافحة سرطان المبيض :”وجود برنامج فعال للفحص بالنسبة للسيدات اللاتي يعانين من مخاطر الإصابة الشديدة بسرطان المبيض نتيجة سجل العائلة الوراثي قد يكون له تأثير كبير على الحالة المعنوية والنجاة من المرض”. وأضاف :”لا نعرف بعد ما إذا كان اكتشاف سرطان المبيض عن طريق الفحص يعزز فرص شفاء السيدات من المرض”. وقال :”مازالت السيدات اللاتي يعانين من خطر الإصابة بسرطان المبيض في حاجة إلى النظر في مخاطر ومنافع المتابعة ومقارنة ذلك مع إجراء جراحة وقائية”.
اشترك في قناة وكالة انباء براثا على التلجرام
https://telegram.me/buratha
اضف تعليقك
الاسم والنص والتحقق من الروبوت ضروري
الاسعار الرسمية للعملات مقابل الدينار
التعليقات
طاهر باقر : انا استغرب لماذا لابد ان يقدم شاب عراقي على الانتحار من اجل مسألة تافهة مثل هذه القضية ...
الموضوع :
انتحار طالب بعد عودته من الامتحان في واسط
باقر : والنعم من النواصب الدواعش والجولاني ..... والنعم من اتباع الصحابة ...
الموضوع :
الاردن يطرد عدد من اطفال غزة المصابين وعوائلهم بحجة ان الاردن مفلس
علي : السلام عليكم ورحمة الله وبركاته نتمنى من أدارة المطار أن تسمح بدخول السيارات لأستقبال المسافر لأن نحن ...
الموضوع :
وزارة النقل تعلن قرب افتتاح ساحة النقل الخاص بمطار بغداد الدولي
الحسين بن علي : الحفيد للجد السعيد ياجد عُد فكلنا اشتقنا لرؤياك وضحكة محياك ياعذب الماء ...
الموضوع :
صورة لاسد المقاومة الاسلامية سماحة السيد حسن نصر الله مع حفيده الرضيع تثير مواقع التواصل
باقر : انت غلطان وتسوق الاوهام.... حثالات الأرض هم أهالي تكريت والانبار وديالى والموصل.... ...
الموضوع :
حماقة البعث والوجه الآخر لتكريت.
ضياء عبد الرضا طاهر : حبيبي ھذا الارھابي محمد الجولاني ھو مثل جورج دبليوا بوش الصغير وترامب صعد وصار رئيس واستقبال حافل ...
الموضوع :
صورة للارهابي ابو محمد الجولاني عندما كان معتقلا في سجن بوكا عام 2005
----خلف ناصر عبد الله : اتمنى لكم التوفيق والسداد بحوث روعه غيتها اعلاء اعلام دين الله سبحانه:؟ ...
الموضوع :
تفسير "هذا صراطُ عليٍّ مستقيم" (الحجر: 41)
منير حجازي : العلاقات التي تربط البرزانيين بالكيان الصهيونية علاقات قديمة يطمح الاكراد من خلالها أن يساعدهم اليهود على إنشاء ...
الموضوع :
النائب مصطفى سند يُحرك شكوى ضد ممثل حكومة كردستان في المانيا دلشاد بارزاني بعد مشاركته احتفال في سفارة الكيان الصهيوني
منير حجازي : الاخت الفاضلة حياكم الله نقلتي قول (أنطوان بارا) في كتابه الحسين في الفكر المسيحي وهو يعقد مقارنة ...
الموضوع :
الحسين في قلب المسيح
ولي : بعد سنوات اليوم يقبل ابناء عنيفص منفذ المقابر الجماعية بحق الانتفاضة الشعبانية ١٩٩١ في الكلية العسكرية بينما ...
الموضوع :
محكمة جنايات بابل تحكم باعدام الارهابي رائد عنيفص العلواني قاتل 26 مواطنا ودفنهم في حديقة داره ببابل
فيسبوك